What is Myeloma?
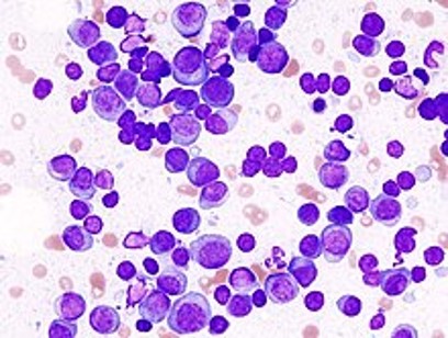
Myeloma is a type of blood cancer that develops from plasma cells in the bone marrow. Myeloma is often called multiple myeloma because most people (90%) have multiple bone lesions at the time it is diagnosed. Plasma cells are a type of white blood cell found in the bone marrow.
They are part of the immune system and help fight infection. When cancerous, these abnormal plasma cells spread throughout the bone marrow so that there is not enough space to make enough normal blood cells.
Bone marrow is found in multiple areas of the body including the spine, skull, shoulders, ribs and pelvis.
It is estimated that more than 2,600 people were diagnosed with multiple myeloma in 2023. The average age at diagnosis is 71 years old.
There is no cure for myeloma
More information?
Myeloma Australia
